අග්න්‍යාශයේ ඇතිවන පිලිකා ( Pancreatic cancer)

අග්න්‍යාශය ශරීරයේ පිහිටා ඇත්තේ කොතැනකද?

උදරයේ ඉහල ප‍්‍රදේශයේ ආමාශයට යටින් කොදු ඇට පෙලට ඉදිරියෙන් හරහට පිහිටා ඇති ග‍්‍රන්ථියකි

අග්න්‍යාශයේ ක‍්‍රියාකාරීත්වය කුමක්ද?

ආහාර ජීර්ණය කිරීමට අවශ්‍ය එන්සයිම වර්ග නිපදවීම හා රුධිරයේ සීනි පාලනයට අවශ්‍ය ඉන්සියුලින් හා ග්ලූකගන් නැමැති හෝර්මෝන නිපද වීම ඇති ප‍්‍රධාන කාර්යයි.

අග්න්‍යාශයේ පිලිකාවක් යනුවෙන් කුමක් අදහස් කෙරේද?

අග්න්‍යාශය තැනී ඇති ෙසෙල පාලනයකින් තොරව වර්ධනය වීම මෙමගින් අදහස් කෙරේ. මේ හේතුව නිසා අග්න්‍යාශයේ ක‍්‍රියාකාරීත්වය අඩපන වීම මෙන්ම පිලිකා ෙසෙල මගින් අග්න්‍යාශය අවට ඇති පටක මත කෙරෙන තෙරපීම හා පිලිකා ෙසෙල ශරීරය පුරා පැතිරීම නිසා නොයෙකුත් ව්‍යාකූලතා ඇති කරයි.

මෙහිදී ඇතිවන රෝග ලක්ෂණ මොනවාද?

ආහාරවලට ඇති ප‍්‍රියතාව අඩුවීම

ශරීරය කෙට්ටු වීම හා බර අඩු වීම

උදරයේ ඉහල ප‍්‍රදේශයේ ඇති වන කැක්කුම

උගුරට ඒම හා වමනය යාම

ශරීරයේ ඇති වන පණ නැති ගතිය



මෙම පිලිකාව මගින් කරන තෙරපීම හා කාවැදීම නිසා ඒ අවට ඇති පිත්නාල අවහිර වීම සිදුවිය හැක එවැනි අවස්ථාවකදී

ශරීරය කහ පැහැයක් ගැනීම (මෙය විශේෂයෙන් සුදු ඉංගිරියාව ආශ‍්‍රිතව දැකිය හැක)

මුත‍්‍රා තේ පැහැයක් ගැනීම මෙන්ම මලපහ සුදුපැහැයක් ගැනීමද දැකිය හැක

මුලු ශරීරයම කැසීම



මෙහි උග‍්‍ර අවස්ථාවලදී

පිට කොන් දේ ඇතිවන වේදනාව

මලපහ බුරුලට යාම නොදිර වු ආහාර මලපහ සමග පිට වීම
යන ලක්ෂණ දැකිය හැකි වේ.

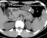
මෙය සැක කරන අවස්ථාවලදී වෛද්‍යවරයා කරනු ලබන පරීක්ෂණ මොනවාද?

උදරයේ කරනු ලබන ස්කෑන් පරීක්ෂණයක් මගින් මෙය පහසුවෙන් හදුනා ගැනීම සිදුකරයි

මීට අමතරව.

රුධිර පරීක්ෂණ හා මුත‍්‍රා පරීක්ෂණ සිදු කරනු ලබයි.

මෙහි පැතිරී ඇති ප‍්‍රමාණය ගැන අවබෝධයක් ලබා ගැනීම සදහා සීටී පරීක්ෂණ සිදුකරනු ලබයි.

මේ සදහා ඇති ප‍්‍රථිකාර මොනවාද?

බොහො වේලාවට රෝගියෙකු වෛද්‍යවරයා වෙත යොමුවන අවස්ථාව වන විට රෝගය පැතිරී තිබේ. ඊට ප‍්‍රධානතම හේතුව වන්නේ මෙහි රෝග ලක්ෂණ ඇති වීම පටන් ගැනෙනුයේ එහි උත්සන්න අවස්ථාවේදී වීමයි.

හැකි සෑම අවස්ථාවකම ශල්‍යකර්මයකින් ඉවත් කිරීම ඇති හොදම ප‍්‍රථිකාර ක‍්‍රමයයි.

ඉන් පසු කීමොතෙරපි ප‍්‍රථිකාරය හා රෙඩියෝ තෙරපි ප‍්‍රථිකාරය දීම ගැන වෛද්‍යවරයා තීරනය කරනු ඇත.

ශල්‍යකර්මයකින් ඉවත්කල නොහැකි අවස්ථාවලදී කීමොතෙරපි ප‍්‍රථිකාරය හා රේඩීයෝ තෙරපි ප‍්‍රථිකාරය ඇති එකම විසදුම වේ.

සමහර අවස්ථාවලදී පිත්නාල හා අග්න්‍යාශයේ නාල අවහිර වී ඇත්නම් එහි අවහිරතාව මගහැරීමට ප‍්‍රථිකාර කරනු ලබේ.( කුඩා බටයක් දැමීම මගින් )

මෙම ප‍්‍රථිකාර ක‍්‍රම මගින් රෝගය නිට්ටාවටම සුවකල හැකිද?

මෙම පිලිකා තත්වයකදී ශල්‍යකර්මයකින් ඉවත් කල හැකිවූවත් ජීවත් වීමේ ආයුකාලය අවුරුදු 5කට වඩා වැඩිවන්නේ 5% ක් පමණ වේ.

මෙම පිලිකා තත්වය ඇති වීමට හේතූ මොනවාද?

මේ සදහා හේතුකාරක වන නිෂ්චිත තත්වයක් හදුනාගෙන නැති මුත්
දුම්බීම
දියවැඩියාව
දීර්ඝ කාලීනව අග්න්‍යාශය ආහ‍්‍රිතව ඇතිවන ආසාදන
තත්ව වලදී වැඩි අවධානමක් ඇති බව සොයාගෙන ඇත.

එබැවින් දුම්බීමෙන් වැලකීම , දියවැඩියාව පාලනය හා ඉහත සදහන් රෝග ලක්ෂණ ඇතිවන මුල් අවස්ථාවේම වෛද්‍යවරයෙකු වෙත යොමු වීම මෙම තත්වය පාලනය කරගැනීමට ගත හැකි එකම විසදුම වේ.

ලිපිය පළකල දිනය Article uploaded on: 06/09/2013
මෙම දැනුම ඔබේ යහළුවන් අතරේත් බෙදාගන්න

ඔබ ලෙඩරෝග පිළිබඳ දැනුවත්ද?

එන්න, දැනුම මැනල බලමු සියලුම ගැටළු